RealWorld
다운로드수 48-
3 (0명)
| 분류 | 의료 |
|---|---|
| 버전 | 버전 3.0 |
| 업데이트 | 2015년 4월 28일 |
| 용량 | 21.2MB |
| 앱결제 | ₩4,400 |
| OS | iPhone: iOS 7.1 이상 필요 / iPad: iPadOS 7.1 이상 필요 / i |
| 디자인 | iPad용으로 디자인됨 |
| 금주 다운수 | 0 |
| 누적 다운수 | 48 |
| 다운로드 | |
|
!소프트웨어 사용범위 위반 시
법적 책임을 질 수 있습니다. |
|
상세정보
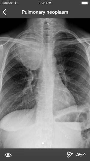
* Now compatible with iOS 8 *RealWorld Radiology is your ultimate guide to the basics of thoracic imaging. Learn to read chest X-rays in no time and discover the most frequent diagnoses through multiple fully annotated examples.RealWorld Radiology currently features more than 70 real-world cases (with more coming for free every month!) each containing: - High-resolution X-rays - All appropriate series (posterioranterior, lateral, expiratory, etc.) - Clinical information regarding the patient and mode of presentation- Detailed radiologic interpretation- Drawings of every radiological finding right on the X-ray Our cases have been especially selected for their high pedagogical value and real-world representativeness. They can be classified either by diagnosis (e.g. pneumonia, atelectasis, pulmonary fibrosis) or by actual radiological finding (e.g. alveolar opacities, interstitial opacities, silhouette sign), making the learning of the differential diagnosis easier than ever while keeping
새로운 기능
This app has been updated by Apple to display the Apple Watch app icon.- New Quiz mode- iOS 8 compatibility
저작권
© 2011-2015 Hyperexis
리뷰
- 소프트쉐어 신규 소프트웨어 추가 안내 2025.01.17
- 소프트쉐어 서비스 이용 가이드 업데이트 안내 2025.01.17
- 소프트쉐어 웹사이트 리뉴얼 안내 2025.01.17














